A Pediatric and Orthodontic Perspective on Prevention, Prevalence, and the Future of Sports Dentistry
I am personally invested in sports dentistry, not only as a pediatric dentist but also as a mother. My ten-year-old son Zane is in love with soccer. He thinks about it, analyzes it, plays it, and envisions it as his future pursuit. His passion and organic commitment warm my heart, and I truly enjoy watching the friendships and camaraderie he builds with his teammates. As his mother, my goal (pun intended!) is to nurture Zane’s long-term dreams by teaching him the intricacies of the mind–body connection. A healthy athlete is safe when their mind feels good and their body is performing at its best. Achieving and maintaining this balance requires a collaborative team that grows with the athlete as they advance to new levels of development.
The mind is everything:
The field of epigenetics has demonstrated the profound power the mind holds over the body. In the words of the late Louise Hay, one of my greatest guides: “Our thoughts shape our lives.” Dr. Joe Dispenza’s research echoes this truth. For young athletes, laying a strong foundation begins with teaching them focus. True competition is not about external comparisons; it is about becoming better than yesterday’s self. When young athletes understand this, they can relax, enjoy the game, challenge themselves, and celebrate their teammates’ achievements as much as their own, simply because those successes pose no risk to their personal progression.
Honoring the body:
Listening to one’s body means learning its subtle language. For athletes in it for the long run, this includes fueling with nutrient-rich foods, hydrating consistently, and stretching muscles before and after play. A hungry athlete might pause to ask, “What will truly nourish me in this moment?” rather than grabbing the first snack in sight. Hydration, likewise, is best practiced before thirst even strikes. Finally, knowing when to stop is just as important a skill as knowing when to go. Athletes who push themselves beyond their body’s comfort level may shine in the short term but often face the consequences later on.
Wellness infrastructure:
Protecting an athlete’s dental health is part of protecting their holistic well-being. Biannual dental and oral examinations in sports are just as essential as periodic physicals and vision checks. They help detect early signs of tooth decay and periodontal issues that can cause discomfort and affect an athlete’s performance. Orthodontic evaluations can reveal misalignments or protruding front teeth that are in a “trauma zone” and should be addressed early to reduce risk of injuries or fractures.
Prevention of dental trauma and orofacial injuries:
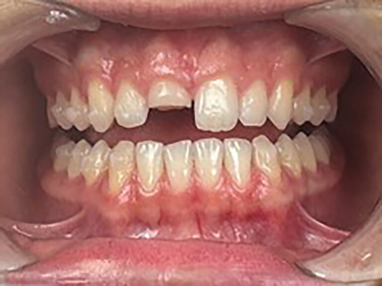
Athletes of all ages need to be protected from both bodily and orofacial injuries. While sports and athletics are an integral part of our children’s lives, dental trauma should not be part of the game. With12–33% of children experiencing traumatic dental injuries (TDIs) by age 12, it is crucial to take precautionary and safety measures to ensure that our children stay healthy. Contact sports like basketball, football, and hockey have the highest rates (up to 50%) of sports-related dental injuries, while soccer, baseball, and lacrosse also pose substantial risks. Prevention, especially through custom mouthguards, is key.
Why Sports Dentistry Matters
- A healthy athlete has a better chance at peak performance levels than one that is in mental or physical discomfort.
- Dental injuries are the most common orofacial injuries in sports.
- Dental trauma impacts more than teeth. It affects nutrition, systemic health, psychosocial well-being, self esteem and finances.
- Long term follow-up is essential for dental injuries.
- Athletes not wearing mouthguards are up to 60 times more likely to sustain dental injuries.
- Parents and caregivers are instrumental in empowering their children to adopt preventative measures such as protective gear and mouthguards.
- Timely intervention can preserve teeth, prevent long-term damage, and minimize complications.
Prevalence of Dental Trauma in Sports: The Global Landscape
| Sport | Estimated % of Sports-Related Dental Injuries | Notes/Context |
| Basketball | 40–50% | Highest in U.S.; often non-mandatory mouthguards |
| Football | Up to 50% (historically) | Rates dropped with helmet/mouthguard mandates |
| Hockey | Up to 50% (historically) | Mandates have reduced rates, but still significant |
| Martial Arts/Boxing | >50% (without protection) | High risk due to direct facial contact |
| Soccer | 7–25% | Varies by age, region, and level of play |
| Baseball/Lacrosse | 10–20% | Ball/stick impact; often overlooked |
| Rugby | 20–30% | High contact, variable mouthguard compliance |
| Gymnastics, Skateboarding, Biking | 5–15% | Falls, collisions, less frequent mouthguard use |
Types of Mouthguards:
-
- Stock: Least protective, limited fit, low compliance.
- Boil-and-Bite: Better fit, but can deform and be bulky.
- Custom-Fit: Best fit, comfort, and protection. Can be vacuum formed or 3D printed.
Athlete participation in mouthguard wear:
- For an athlete to wear a mouthguard, they must be comfortable while wearing it, be able to speak and breathe easily with the guard in their mouth and the guard must be stable to avoid dislodgement.
- Custom mouthguards lead to higher compliance and better outcomes because they fit better.
- Custom appliances can be fitted over fixed orthodontic brackets to make the continuation of care seamless.
How can we encourage our young athletes to wear Mouthguards:
- Advocacy: Encourage leagues, schools, and coaches to mandate mouthguard use in all at-risk sports. The rule of “No Mouthguard, no play” needs to be part of the game.
- Education: Parents, athletes, and coaches must understand the risks and benefits of proper safety precautions and mouthguards.
Emergency Management: The On-Field Playbook
- Fractures: Find/Keep fractured crown fragment(s) and place it in water. These can be bonded to the tooth structure.
- Luxation Injuries: Concussion, subluxation, intrusion, extrusion, lateral luxation. In these instances, head to your dentist to reposition or stabilize the dislodged teeth.
- Avulsion: Complete displacement of tooth from socket. Immediate replantation (within 5-15 minutes is ideal). Hold tooth by the crown, not the root and return it to its socket or place it in a “save-a-tooth” kit or milk or saliva, never water. Seek immediate dental care.
- Follow IADT Guidelines: iadt-dentaltrauma.org
The Team Dentist:
- Team Dentists Collaborate with Coaches and Athletic Trainers to Support Athlete Wellness.
- The Acadmey for Sports Dentistry (ASD) lists the following benefits of the team dentist as follows:
-Immediate response to sports-related dental emergencies and trauma
-Strategic prevention planning developed alongside coaching and training staff
-Performance optimization by identifying oral health factors that impact athletic ability
-Holistic wellness support through comprehensive, integrated healthcare approaches.
Here is the outline of my strategy to support sports dentistry in my community:
- Education and Awareness: For both the parents and the coaches through presentations explaining the importance of dental protection in sports, highlighting the prevention of injuries, and emphasizing the important role of mouthguards.
- Showcasing samples: Offering samples of mouthguards available for kids to see, feel and touch.
- Customization event: Hosting a “mouthguard fitting day” event for a local team where digital scans can be obtained. Personalize the mouthguards with team colors or player names to increase appeal.
- Collaboration with coaches and team management: Promoting and encouraging mouthguard usage.
- Regular monitoring: Establish a system where coaches check for mouthguard gear.
- Incentive program: Reward players who consistently wear their mouthguards during practice and games with prizes and recognition “mouthguard champion of the month”
- Involving parents: Hosting a seminar to highlight the long-term benefits of wearing a mouthguard and explain the financial benefits of preventing dental injuries with mouthguards compared to the cost of injury treatment.
- Providing mouthguard checks at the dental office: Every season, free mouthguard checks during routine dental visits.
- Highlighting success stories of teams and player and sponsor a team to spread awareness.
- Enjoying a fun and safe game!
The Future of Sports Dentistry: Innovations and Trends
- Advanced Materials and Digital Fabrication
- Multi-laminate mouthguards with enhanced shock absorption.
- 3D printing and CAD/CAM technology to allow more rapid, precise, and cost-effective custom mouthguard fabrication, even for orthodontic patients.
- Tele-dentistry and AI
- Immediate triage: Smartphone-based consultations for on-field injuries
- AI diagnostics: Future platforms (like DentalGPT’s ODIN Clinical Vision AI) will analyze photos and radiographs for rapid trauma assessment.
- Concussion Mitigation Research
- Evidence suggests custom mouthguards may reduce concussion risk by dissipating impact forces.
- Personalized, Digital, and Connected Care
- Integration with electronic health records and digital communication platforms will improve care coordination and emergency response.
Key Takeaways
- Dental trauma in sports is common and preventable.
- Custom-fit mouthguards are the gold standard for prevention.
- Proper emergency management is critical for prognosis.
- The future is digital, personalized, and collaborative.
Action Steps
- Parents & Athletes: Insist on mouthguard use for all at-risk sports.
- Coaches & Schools: Enforce “No Mouthguard, No Play” policies.
- Dental Professionals: Educate, advocate, and provide custom appliances.
Every time a child runs onto the field, their smile goes with them. Sports dentistry ensures that smile stays safe, strong, and ready for every victory. With the right protection and the right guidance, our young athletes can focus on what matters most: Playing the game they love, while parents rest easy knowing their smiles are cared for.
Schedule your child’s first dental visit today! Contact us here.

